VAI TRÒ CỦA Y HỌC CỔ TRUYỀN TRONG ĐIỀU TRỊ THOÁI HÓA KHỚP Ở NGƯỜI CAO TUỔI
VAI TRÒ CỦA Y HỌC CỔ TRUYỀN TRONG ĐIỀU TRỊ
THOÁI HÓA KHỚP Ở NGƯỜI CAO TUỔI
Thoái hóa khớp (Osteoarthritis – OA) là “kẻ thù” thầm lặng bào mòn chất lượng cuộc sống của người cao tuổi. Trong bối cảnh y học hiện đại phát triển, Y học cổ truyền vẫn khẳng định được vị thế vững chắc nhờ tính an toàn, bền vững và khả năng điều trị tận gốc căn nguyên bệnh.
Đặc điểm của Thoái hoá khớp
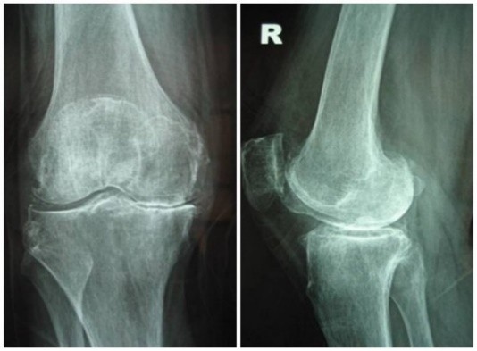
Thoái hóa khớp là tình trạng tổn thương sụn khớp và xương dưới sụn, kèm theo phản ứng viêm và giảm dịch khớp.
Thoái hóa khớp khởi phát từ sự mất cân bằng giữa quá trình tổng hợp và thoái giáng của sụn khớp. Các Cytokine tiền viêm như IL-1 và TNF- kích thích men tiêu protein (MMPs) phá hủy lưới Collagen tuýp II và Proteoglycan, làm trơ sọi xương dưới sụn, gây đau và biến dạng.
- Tỉ lệ mắc bệnh: Theo thống kê, có đến 80% người trên 65 tuổi gặp các vấn đề về thoái hóa khớp. Tại Việt Nam, con số này đang có xu hướng trẻ hóa và gia tăng nhanh chóng.
- Thoái hóa khớp không chỉ gây đau đớn cục bộ mà còn dẫn đến cứng khớp, biến dạng khớp, làm hạn chế khả năng vận động, thậm chí gây tàn phế, khiến người cao tuổi dễ rơi vào trạng thái trầm cảm, cô lập.

- Theo YHCT: Thoái hóa khớp thuộc phạm vi chứng “Tý”. Nguyên nhân do chính khí suy giảm, can thận hư yếu khiến phong – hàn – thấp – nhiệt xâm nhập, gây kinh lạc bế tắc, khí huyết không lưu thông mà thành bệnh.

Thoái hoá khớp có những triệu chứng gì?
- Đau kiểu cơ học: Đau tăng khi vận động (đi lại, leo cầu thang, mang vác) và giảm rõ rệt khi được nghỉ ngơi.
- Đau theo thời tiết: Cơn đau thường dữ dội hơn khi trời chuyển lạnh, nồm ẩm hoặc áp suất khí quyển thay đổi.
- Vị trí: Thường gặp ở khớp gối, khớp háng, cột sống thắt lưng và các khớp ngón tay.
- Cứng khớp buổi sáng: Phải mất một khoảng thời gian xoa bóp, vận động nhẹ (thường dưới 30 phút) thì khớp mới linh hoạt trở lại.
- Tiếng lục khục phát ra từ bên trong khớp khi vận động ( đặc biệt là khớp gối)
- Hạn chế tầm vận động: Khó khăn khi vận động, đi lại, co duỗi các khớp
- Biến dạng khớp: Sưng to, lệch trục, teo cơ….

Phương pháp điều trị đang được thực hiện tại khoa YHCT- Bệnh viện C Đà Nẵng
Phép điều trị: Khu phong, tán hàn, trừ thấp, bổ can thận, thông kinh hoạt lạc.
- Sử dụng thuốc YHCT
Dùng bài thuốc cổ phương nổi tiếng như Độc hoạt Tang ký sinh hay Quyên tý thang, Lục vị địa hoàng hoàn ….thường được gia giảm tùy theo thể trạng từng người. Đặc biệt chú trọng bổ Can thận (chủ cốt tủy) để nuôi dưỡng xương khớp từ gốc.
– Bằng chứng khoa học: Các nghiên cứu cho thấy nhiều thảo dược có khả năng ức chế con đường viêm, giúp giảm sưng đau tương đương với một số nhóm thuốc ức chế chọn lọc COX-2 nhưng ít tác dụng phụ hơn.
- Châm cứu, điện châm
Châm cứu: Kích thích các huyệt đạo giúp cơ thể sản sinh Endorphin – một loại “thuốc giảm đau tự nhiên”, giúp giãn cơ và tăng cường lưu thông máu.
- Thủy châm
Thủy châm: Đưa các vitamin (B12, B6) bổ thần kinh trực tiếp vào huyệt vị để tăng hiệu quả điều trị.
- Xoa bóp, bấm huyệt
Sử dụng đôi bàn tay để tác động vào cơ, khớp, huyệt vị và hệ thống kinh lạc mạch. Phương pháp này giúp thông kinh hoạt lạc, làm mềm các nhóm cơ bị co cứng do đau mạn tính, cải thiện tầm vận động cho khớp mà không cần dùng thuốc.
- Chườm thảo dược:
Sử dụng ngải cứu, muối, gừng, quế chi… giúp tán phong hàn, thông kinh, giãn mạch, giảm đau.
- Cấy chỉ:
Đây là bước tiến của YHCT hiện đại. Việc đưa chỉ tự tiêu vào huyệt đạo tạo ra kích thích liên tục trong 7-10 ngày, giúp tăng cường chuyển hóa tại chỗ và ổn định cấu trúc bao khớp, nhằm khơi thông kinh mạch bị bế tắc, từ đó giảm đau
- Tập dưỡng sinh:
Các bài tập nhẹ nhàng giúp người già duy trì sự linh hoạt của khớp mà không gây áp lực quá lớn lên sụn.
- Ngâm thuốc YHCT:
Sử dụng các bài thuốc ngâm từ các vị thuốc nam, giúp thông kinh lạc, giãn gân cơ, giảm đau.
Chống chỉ định và an toàn thủ thuật:
- Chống chỉ định:
+ Các bệnh cấp cứu nội khoa, ngoại khoa, sản khoa
+ Bệnh truyễn nhiễm cấp tính: Sốt, bệnh lây nhiễm…
+ Người suy kiệt hoặc suy tạng nặng
+ Người có bệnh lý tâm thần không ổn định
+ Vùng da làm thủ thuật viêm nhiễm, dị ứng
- Việc thực hiện thủ thuật được thực hiện bởi đội ngũ Bác sĩ có kinh nghiệm tại khoa Y học cổ truyền – Bệnh viện C Đà Nẵng nhằm đảm bảo tính chính xác, an toàn, hiệu quả.
Phương hướng của YHCT trong tương lai
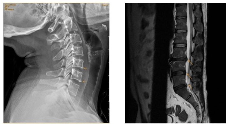
- Kết hợp Đông – Tây y (Y học tích hợp): Đây là xu hướng tất yếu. Tây y dùng để giảm đau cấp tính và chẩn đoán hình ảnh (X-quang, MRI) để phục vụ chẩn đoán; Đông y dùng để điều trị duy trì, phục hồi chức năng và hạn chế tác dụng phụ của thuốc kháng viêm giảm đau.
- Hiện đại hóa thuốc thảo dược: Chiết xuất các hoạt chất quý từ thảo dược (như Curcumin từ nghệ, Glucosamine tự nhiên) thành dạng viên nén, thực phẩm chức năng dễ sử dụng nhưng vẫn giữ nguyên lý luận của YHCT.
- Cá nhân hóa điều trị: Ứng dụng công nghệ để theo dõi thể trạng từng bệnh nhân, từ đó đưa ra phác đồ “biện chứng luận trị” chính xác hơn, kết hợp giữa chế độ ăn uống, tập luyện và trị liệu tâm lý.
Địa chỉ liên hệ: Phòng khám Khoa Y học cổ truyền
Bệnh viện C Đà Nẵng, 122 Hải Phòng, Phường Hải Châu, Tp Đà Nẵng
Điện thoại di dộng: BSCKI. Phạm Thị Mỹ Châu: 0934872591; BSCKI. Hồ Thị Thuý Vy: 0974117431
Email: phamchau1508@gmail.com

