CHĂM SÓC RĂNG MIỆNG TOÀN DIỆN CHO NGƯỜI CAO TUỔI – GIẢI PHÁP NÂNG CAO CHẤT LƯỢNG SỐNG VÀ SỨC KHỎE HỆ THỐNG
CHĂM SÓC RĂNG MIỆNG TOÀN DIỆN CHO NGƯỜI CAO TUỔI –
GIẢI PHÁP NÂNG CAO CHẤT LƯỢNG SỐNG VÀ SỨC KHỎE HỆ THỐNG
Nhu cầu chăm sóc răng miệng ở người cao tuổi
Trong kỷ nguyên già hóa dân số, sức khỏe răng miệng không còn là vấn đề y tế cục bộ mà đã trở thành chỉ số nhân văn về chất lượng sống. Tại Việt Nam, tốc độ già hóa nhanh chóng đang đặt ra những thách thức lớn cho hệ thống y tế công cộng. Những con số thống kê cho thấy thực trạng đáng báo động:
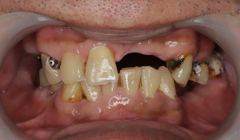
- Hơn 90% người cao tuổi mắc các bệnh lý về sâu răng hoặc nha chu.
- Trung bình mỗi người chỉ còn giữ được khoảng 10-12 răng thật.
- Tỷ lệ mất răng toàn bộ ở mức cao, gây ảnh hưởng trực tiếp đến khả năng hấp thụ dinh dưỡng và giao tiếp.

Sự thay đổi sinh học và những hạn chế do quá trình lão hóa
Sự lão hóa cơ quan răng miệng là một tiến trình phức tạp, bao gồm cả suy giảm tự nhiên và biến đổi bệnh lý tích lũy:
- Thoái hóa cấu trúc răng: Buồng tủy co lại, ngà răng mất nước trở nên giòn, dễ nứt mẻ, khiến răng dễ vỡ lớn dù ít cảm thấy đau cấp tính.
- Mòn men và tụt nướu: Men răng mòn do ma sát cơ học và axit; nướu co rút làm lộ chân răng, tăng nguy cơ ê buốt và sâu chân răng.
- Suy giảm chức năng tuyến nước bọt: Hội chứng khô miệng (Xerostomia) do tác dụng phụ của hơn 400 loại thuốc điều trị bệnh mạn tính làm mất cơ chế tự làm sạch, khiến sâu răng bùng phát nhanh.
- Teo mỏng niêm mạc: Lớp biểu mô miệng trở nên mỏng, mất đàn hồi và dễ tổn thương bởi các tác động vật lý hoặc nhiễm khuẩn.

Mối liên hệ đa chiều giữa răng miệng và sức khỏe toàn thân
Khoa học hiện đại xác định khoang miệng là cửa ngõ của nhiều bệnh lý hệ thống nghiêm trọng:
- Bệnh tim mạch: Vi khuẩn viêm nha chu xâm nhập dòng máu, thúc đẩy xơ vữa động mạch, tăng nguy cơ đột quỵ và nhồi máu cơ tim.
- Đái tháo đường: Đây là mối quan hệ “hai chiều”; tiểu đường làm tăng nguy cơ viêm nha chu gấp 3 lần, ngược lại, viêm răng miệng khiến việc kiểm soát đường huyết trở nên khó khăn.
- Viêm phổi hít: Vi khuẩn từ mảng bám răng có thể theo dịch tiết vào phổi, gây tử vong hàng đầu ở người già suy yếu.
- Sa sút trí tuệ: Mất răng làm giảm lưu lượng máu lên não; người mất nhiều răng có nguy cơ mắc bệnh Alzheimer cao hơn rõ rệt.
Hội chứng suy giảm chức năng miệng (Oral Frailty)
Đây là khái niệm mới nhằm chỉ sự suy giảm tổng thể các chức năng nói, nhai, nuốt. Người mắc hội chứng này có nguy cơ suy yếu thể chất tăng 2.4 lần và tử vong tăng gấp 2.2 lần. Các dấu hiệu nhận biết bao gồm:
- Khó nuốt thức ăn khô, hay bị sặc.
- Hôi miệng dai dẳng, cơ hàm yếu.
- Cảm giác ngại giao tiếp do các vấn đề về răng.
Chiến lược chăm sóc và quản lý dự phòng
Để duy trì hàm răng chắc khỏe, người cao tuổi cần thực hiện các biện pháp thích ứng:
- Vệ sinh cá nhân hóa: Sử dụng bàn chải điện nếu bị viêm khớp/Parkinson; dùng kem đánh răng có hàm lượng Fluoride cao (từ 1.450 ppm) và máy tăm nước để hỗ trợ làm sạch.
- Quản lý hàm giả: Tháo hàm khi ngủ để niêm mạc “thở”, vệ sinh bằng dung dịch chuyên dụng và kiểm tra định kỳ để tránh loét chấn thương dẫn đến ung thư.
- Dinh dưỡng thông minh: Tăng cường Canxi, Vitamin D, Protein; uống nhiều nước từng ngụm nhỏ và hạn chế thực phẩm quá cứng, dẻo.

- Chính sách BHYT mới (từ 01/07/2025): Hạ độ tuổi cấp thẻ BHYT miễn phí xuống 75 tuổi (với người hưởng trợ cấp tuất) và hỗ trợ 100% mức đóng cho người từ 70 tuổi thuộc hộ cận nghèo. Điều này tạo điều kiện thuận lợi để tiếp cận các dịch vụ điều trị bệnh lý răng miệng.
KHOA RĂNG HÀM MẶT – BỆNH VIỆN C ĐÀ NẴNG: ĐỊA CHỈ TIN CẬY CHO SỨC KHỎE NGƯỜI CAO TUỔI
Tại Bệnh viện C Đà Nẵng, công tác khám và điều trị răng hàm mặt được triển khai thường quy với sự đầu tư bài bản về cả nhân lực và công nghệ:
- Hệ thống hiện đại: Bệnh viện trang bị máy móc chuyên sâu: máy chụp phim răng toàn cảnh, CT Cone beam, MRI, máy cắm ghép Implant, nhổ răng siêu âm giảm sang chấn Piezome, máy điều trị tủy, …, phòng khám vô khuẩn đạt tiêu chuẩn, đảm bảo an toàn tuyệt đối cho bệnh nhân cao tuổi có nhiều bệnh lý nền kèm theo.


- Đội ngũ chuyên gia: Các bác sĩ giàu kinh nghiệm luôn thực hiện thăm khám, đánh giá toàn diện và tư vấn kỹ lưỡng các phương án điều trị tối ưu cho từng trường hợp cụ thể.

- Hiệu quả vượt trội: Với mục tiêu giúp người dân duy trì ít nhất 20 răng thật ở tuổi 80 (mục tiêu 8020), bệnh viện đã thực hiện thành công hàng ngàn ca điều trị phức tạp, giúp bệnh nhân phục hồi chức năng ăn nhai, cải thiện rõ rệt chất lượng cuộc sống.

- Hướng dẫn, tư vấn, chăm sóc tận tâm: Quy trinh hướng dẫn, tư vấn, chăm sóc bài bản, tận dụng tối đa các chính sách hỗ trợ từ Nhà nước giúp giảm bớt gánh nặng chi phí cho người bệnh.

Lời kết: Chăm sóc răng miệng là hành trình bảo vệ nụ cười và sức khỏe bền vững. Hãy để Khoa Răng Hàm Mặt – Bệnh viện C Đà Nẵng đồng hành cùng quý vị trong việc giữ gìn sức khỏe răng miệng của bạn.
Địa chỉ liên hệ: Khoa Răng Hàm Mặt – Bệnh viện C Đà Nẵng
Số điện thoại: BSCKII. LÊ VĂN HÀ: 0903571235-
BS CKI Phạm Xuân Đức: 0979188938
Email: rhmbvcdn@gmail.com
Facebook: https://www.facebook.com/share/1DWNiVrZtY/?mibextid=wwXIfr


